Она удлинила себе ноги на рекордные 14 см
Знакомьтесь, это Терезия Фишер — 31-летняя модель и блогер из Германии. Она удлинила себе ноги на 14 сантиметров. В итоге с 168 см она выросла до 182 см. Это невероятно мучительная операция, но девушка ни о чем не жалеет. По ее словам, она пошла на эти изменения, чтобы продвинуться в карьере модели и разнообразить свою сексуальную жизнь.

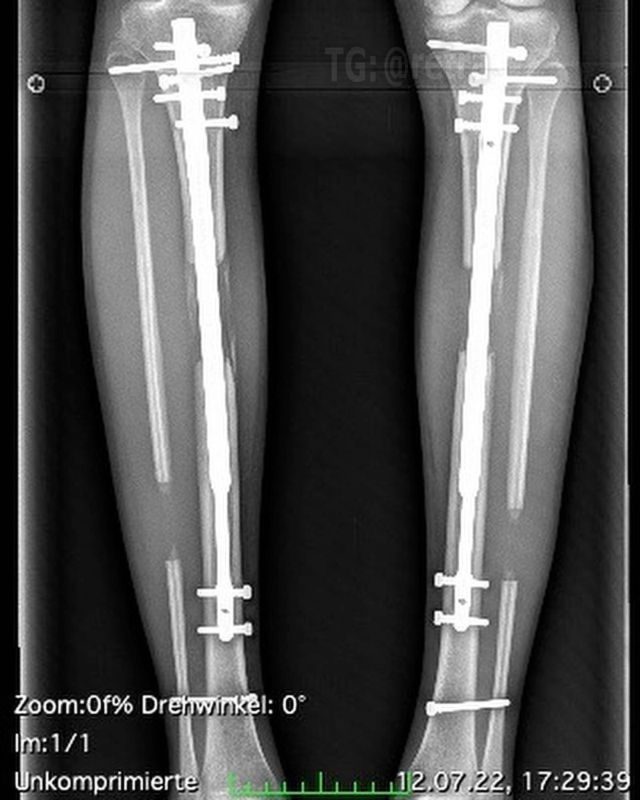
Процесс удлинения ног требует болезненной процедуры, при которой врач ломает кости в каждой ноге пациента и вставляет регулируемые телескопические стержни. В течение следующих трёх месяцев ноги постепенно удлиняются на один миллиметр в день, что в конечном итоге делает человека на несколько сантиметров выше.


Операция также влечёт за собой длительный процесс восстановления с «непрекращающейся» болью из-за растяжения нервов, мышц и тканей ног.


Процесс удлинения ног требует болезненной процедуры, при которой врач ломает кости в каждой ноге пациента и вставляет регулируемые телескопические стержни. В течение следующих трёх месяцев ноги постепенно удлиняются на один миллиметр в день, что в конечном итоге делает человека на несколько сантиметров выше.


Операция также влечёт за собой длительный процесс восстановления с «непрекращающейся» болью из-за растяжения нервов, мышц и тканей ног.

Только зарегистрированные и авторизованные пользователи могут оставлять комментарии.
+1
Почему нуждающимся не помогают…
- ↓
+2
Киборг или робокоп?
- ↓
+2
Ужас… И как эти лытки помогают в сексуальной жизни?
- ↓
+1
Когда посылают — бежишь быстрее)))
- ↑
- ↓
+1
Чтобы разнообразить свою сексуальную жизнь могла бы просто выйти на панель… с такими мозгами — вполне имела бы спрос
- ↓
+1
Даже на здоровых ногах не все девушки умеют красиво ходить на шпильках и не у всех красиво смотрятся ножки, а уж про травмированные ноги и говорить нечего, просто противопоказано. К сожалению она никогда уже не будет иметь лёгкой пружинистой походки и здоровых ног. Глупая, бедная девочка (( Очень её жаль.
- ↓
0
Трындец
- ↓
0
Героическая тёлка, но глупая ..!
Стоит ли «продвижение в карьере и разнообразие в сексуальной жизни» таких жутких мучений ..?!
Жаль, нет её фотографий «до того»…
- ↓
0
Лучше-б училась.
- ↓
+1
Аппарат Илизарова тоже удлинняет кости
- ↓
+4
Жуть..!
- ↓

